Abstract

Research Article

Pure Erythroid Leukemia: The Sole Acute Erythroid Leukemia

Fauzia Shafi Khan*, Khalid Mahmood and Alia Ahmad

Published: 11 July, 2017 | Volume 1 - Issue 1 | Pages: 001-005

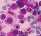
Pure Erythroid Leukemia (PEL) is an aggressive and exceedingly rare form of acute leukemia. In the 2008 WHO classification PEL was one of the subtypes of acute erythroid leukemia the other subtype being erythroleukemia (erythroid/ myeloid). In the 2016 WHO classification update, erythroleukemia was merged into myelodysplastic syndrome and PEL now is the only type of acute erythroid leukemia.106 cases of acute myeloid leukemia were diagnosed in 28 months in children’s hospital Lahore and PEL constituted 0.94%. Diagnosis of PEL is made by the bone marrow morphology showing predominant Immature erythroid precursors (proerythroblastic or undifferentiated), Periodic Acid- Schiff staining and immunophenotyping. In PEL no specific genetic mutations have been described but complex karyotypes and TP53 mutations are frequently noted. Future collaborative studies to identify the molecular defects will contribute to the development of targeted therapies that might improve the prognosis.

Read Full Article HTML DOI: 10.29328/journal.ijbmr.1001001 Cite this Article Read Full Article PDF

References

  1. Santos FP, Bueso-Ramos CE, Ravandi F. Acute erythroleukemia: Diagnosis and management. Expert Rev Hematol. 2010; 3: 705-718. Ref.: https://goo.gl/6kD1fj
  2. Swerdlow SH, Campo E, Harris NL. WHO Classification of Tumours of Haematopoietic and Lymphoid Tissues. Lyon, France. IARC Press. 2008.
  3. Arber DA, Orazi A, Hasserjian R, Thiele J, Borowitz MJ, et al. The 2016 revision to the World Health Organization classification of myeloid neoplasms and acute leukemia. Blood. 2016; 127: 2391-2405. Ref.: https://goo.gl/2XHvJ2
  4. Liu W, Hasserjian RP, Hu Y, Zhang L, Miranda RN, et al. Pure erythroid leukemia: a reassessment of the entity using the 2008 World Health Organization classification. Mod Pathol. 2011; 24: 375-383. Ref.: https://goo.gl/rM35Zr
  5. Wong E, Ling V, Westerman D, Morgan S, Juneja S. How unique is pure erythroid leukaemia? A retrospective analysis of seven cases and review of the literature. J Clin Pathol. 2015; 68: 30-35. Ref.: https://goo.gl/M7uYcW
  6. Wang SA, Hasserjian RP. Erythroid proliferations in myeloid neoplasms. Hum Pathol. 2012; 43: 153-164. Ref.: https://goo.gl/i9SJFC
  7. Liu W, Hasserjian RP, Hu Y, Zhang L, Miranda RN, et al. Pure erythroid leukemia: a reassessment of the entity using the 2008 World Health Organization classification. Mod Pathol. 2011; 24: 375-383. Ref.: https://goo.gl/rM35Zr
  8. Liu CJ, Hong YC, Yang CF, Liu SH, Gau JP, et al. Clinicopathologic features and outcome of acute erythroid leukemia based on 2008 revised World Health Organization classification. Leuk Lymphoma. 2012; 53: 289-294. Ref.: https://goo.gl/jVuATn
  9. Olopade OI, Thangavelu M, Larson RA, Mick R, Kowal-Vern A, et al. Clinical, morphologic, and cytogenetic characteristics of 26 patients with acute erythroblastic leukemia. Blood. 1992; 80: 2873-2882. Ref.: https://goo.gl/KvLhye
  10. Colita A, Belhabri A, Chelghoum Y, Charrin C, Fiere D, et al. Prognostic factors and treatment effects on survival in acute myeloid leukemia of M6 subtype: a retrospective study of 54 cases. Ann Oncol. 2001; 2: 451-455. Ref.: https://goo.gl/MFG7i1
  11. Hasserjian RP, Zuo Z, Garcia C, Tang G, Kasyan A, et al. Acute erythroid leukemia: a reassessment using criteria refined in the 2008 WHO classification. Blood. 2010; 115: 1985-1992. Ref.: https://goo.gl/VrAZBp
  12. Mihova D, Zhang L. Acute erythroid leukemia: A review. N A J Med Sci. 2012; 5: 110-118.
  13. Swerdlow SH, Campo E, Harris NL. WHOclassification of tumors of haematopoietic and lymphoid tissues (IARC WHO classification of tumours), 4th edn. WHO Press, Lyon. 2008.
  14. Zuo Z, Polski JM, Kasyan A, Medeiros LJ. Acute erythroid leukemia. Arch Pathol Lab Med. 2010; 134: 1261-1270. Ref.: https://goo.gl/7WUxno
  15. Aljabry M. Complex Karyotype with Novel Translocation in Pure Erythroid Leukemia Patient. Hematol Rep. 2015; 7: 5674. Ref.: https://goo.gl/Xe6h3Mb
  16. Acs G, LiVolsi VA. Loss of membrane expression of E-cadherin in leukemic erythroblasts. Arch Pathol Lab Med. 2001; 125: 198-201. Ref.: https://goo.gl/Rd75Nj
  17. Armeanu S, Bühring HJ, Reuss-Borst M, Müller CA, Klein G. E-cadherin is functionally involved in the maturation of the erythroid lineage. J Cell Biol. 1995; 131: 243-249. Ref: https://goo.gl/qu62Xv
  18. Bühring HJ, Müller T, Herbst R, Cole S, Rappold I, et al. The adhesion molecule E-cadherin and a surface antigen recognized by the antibody 9C4 are selectively expressed on erythroid cells of defined maturational stages. Leukemia. 1996; 10: 106-116. : https://goo.gl/hAVkdm
  19. Southcott MJ, Tanner MJ, Anstee DJ. The expression of human blood group antigens during erythropoiesis in a cell culture system. Blood. 1999; 93: 4425-4435. Ref.: https://goo.gl/qquCUH
  20. Wang W, Grier DD, Woo J, Ward M, Sui G, et al. Ferritin H is a novel marker of early erythroid precursors and macrophages. Histopathology. 2013; 62: 931-940. Ref.: https://goo.gl/6SwjTQ
  21. Moharram L, Kamal N, Sukhun SA, Sughayer MA. Erythropoietin-induced acute erythroid leukemia-like picture: a potential pitfall. Hematol Oncol Stem Cell Ther. 2014; 7: 50-52. Ref.: https://goo.gl/PwV9ZY
  22. Arber DA, Brunning RD, Orazi A. Acute myeloid leukemia, not otherwise specified. Swerdlow SH, Campo E, Harris NL, et al. editors. Tumours of haematopoietic and lymphoid tissues. Lyon: IARC Press, 2008; 134-136.

Figures:

Figure 1

Figure 1

Similar Articles

Recently Viewed

  • Analysis of the Factors of Therapeutic Failure after Transition to Acriptega: About Two Cases
    Medard Amona*, Yolande Voumbo Mavoungou Matoumona, Hama Nemet Ondzotto, Grace Paterson Ngouaka, Benjamin Kokolo, Armel Itoua, Gilius Axel Aloumba and Pascal Ibata Medard Amona*,Yolande Voumbo Mavoungou Matoumona,Hama Nemet Ondzotto,Grace Paterson Ngouaka,Benjamin Kokolo,Armel Itoua,Gilius Axel Aloumba,Pascal Ibata. Analysis of the Factors of Therapeutic Failure after Transition to Acriptega: About Two Cases. Int J Clin Microbiol Biochem Technol. 2026: doi: 10.29328/journal.ijcmbt.1001033; 9: 001-009
  • Global Burden and Future Outlook of Antimicrobial Resistance
    Muhammad Ajmal Dina*, Muhammad Akram Bhutta and Syed Ahmed Zeshan Muhammad Ajmal Dina*,Muhammad Akram Bhutta,Syed Ahmed Zeshan. Global Burden and Future Outlook of Antimicrobial Resistance. Int J Clin Microbiol Biochem Technol. 2026: doi: 10.29328/journal.ijcmbt.1001035; 9: 018-021
  • Adult Bladder Exstrophy with Premalignant Changes Following Failed Reconstruction: A Case Report
    Mohammed Amine Elafari*, Mamad Ayoub, Mohamed Amine Zaki, Mohammed Amine Bibat, Amine Slaoui, Tarik Karmouni, Abdelatif Koutani and Khalid Elkhader Mohammed Amine Elafari*,Mamad Ayoub,Mohamed Amine Zaki,Mohammed Amine Bibat,Amine Slaoui,Tarik Karmouni,Abdelatif Koutani,Khalid Elkhader. Adult Bladder Exstrophy with Premalignant Changes Following Failed Reconstruction: A Case Report. J Clin Med Exp Images. 2026: doi: 10.29328/journal.jcmei.1001044; 10: 020-023
  • Late Extensive Regional Recurrence of Paratesticular Dedifferentiated Liposarcoma 10 Years after Orchiectomy: A Case Report
    Mohammed Amine Elafari*, Mamad Ayoub, Mohammed Amine Bibat, Amine Slaoui, Tariq Karmouni, Abdelatif Koutani and Khalid Elkhader Mohammed Amine Elafari*,Mamad Ayoub,Mohammed Amine Bibat,Amine Slaoui,Tariq Karmouni,Abdelatif Koutani,Khalid Elkhader. Late Extensive Regional Recurrence of Paratesticular Dedifferentiated Liposarcoma 10 Years after Orchiectomy: A Case Report. Arch Cancer Sci Ther. 2026: doi: 10.29328/journal.acst.1001049; 10: 006-010
  • The Police Power of the National Health Surveillance Agency – ANVISA
    Dimas Augusto da Silva* and Rafaela Marinho da Silva Dimas Augusto da Silva*,Rafaela Marinho da Silva. The Police Power of the National Health Surveillance Agency – ANVISA. Arch Cancer Sci Ther. 2024: doi: 10.29328/journal.acst.1001046; 8: 063-076

Read More

Most Viewed

Read More

Help ?