Figure 4

European Clinical Laboratory, Molecular and Pathological (ECMP) criteria for prefibrotic JAK2V617F-Thrombocythemia and Polycythemia Vera versus MPL515- and CALR-Thrombocythemia and Myelofibrosis: From Dameshek to Michiels 1950-2018

Jan Jacques Michiels*, Zwi Berneman, Wilfried Schroyens, Fibo W J ten Kate, King Lam and Hendrik De Raeve

Published: 01 March, 2019 | Volume 2 - Issue 1 | Pages: 001-017

ijbmr-aid1002-g004

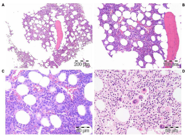
Figure 4:

Clinical history and bone marrow histology in Case 8 in table 6 with prefibrotic JAK2V617F positive PV and a diagnostic ET/PV (forme fruste PV) bone marrow picture.

 

Read Full Article HTML DOI: 10.29328/journal.ijbmr.1001002 Cite this Article Read Full Article PDF

More Images

Similar Articles

Recently Viewed

  • Analysis of the Factors of Therapeutic Failure after Transition to Acriptega: About Two Cases
    Medard Amona*, Yolande Voumbo Mavoungou Matoumona, Hama Nemet Ondzotto, Grace Paterson Ngouaka, Benjamin Kokolo, Armel Itoua, Gilius Axel Aloumba and Pascal Ibata Medard Amona*,Yolande Voumbo Mavoungou Matoumona,Hama Nemet Ondzotto,Grace Paterson Ngouaka,Benjamin Kokolo,Armel Itoua,Gilius Axel Aloumba,Pascal Ibata. Analysis of the Factors of Therapeutic Failure after Transition to Acriptega: About Two Cases. Int J Clin Microbiol Biochem Technol. 2026: doi: 10.29328/journal.ijcmbt.1001033; 9: 001-009
  • Global Burden and Future Outlook of Antimicrobial Resistance
    Muhammad Ajmal Dina*, Muhammad Akram Bhutta and Syed Ahmed Zeshan Muhammad Ajmal Dina*,Muhammad Akram Bhutta,Syed Ahmed Zeshan. Global Burden and Future Outlook of Antimicrobial Resistance. Int J Clin Microbiol Biochem Technol. 2026: doi: 10.29328/journal.ijcmbt.1001035; 9: 018-021
  • Adult Bladder Exstrophy with Premalignant Changes Following Failed Reconstruction: A Case Report
    Mohammed Amine Elafari*, Mamad Ayoub, Mohamed Amine Zaki, Mohammed Amine Bibat, Amine Slaoui, Tarik Karmouni, Abdelatif Koutani and Khalid Elkhader Mohammed Amine Elafari*,Mamad Ayoub,Mohamed Amine Zaki,Mohammed Amine Bibat,Amine Slaoui,Tarik Karmouni,Abdelatif Koutani,Khalid Elkhader. Adult Bladder Exstrophy with Premalignant Changes Following Failed Reconstruction: A Case Report. J Clin Med Exp Images. 2026: doi: 10.29328/journal.jcmei.1001044; 10: 020-023
  • Late Extensive Regional Recurrence of Paratesticular Dedifferentiated Liposarcoma 10 Years after Orchiectomy: A Case Report
    Mohammed Amine Elafari*, Mamad Ayoub, Mohammed Amine Bibat, Amine Slaoui, Tariq Karmouni, Abdelatif Koutani and Khalid Elkhader Mohammed Amine Elafari*,Mamad Ayoub,Mohammed Amine Bibat,Amine Slaoui,Tariq Karmouni,Abdelatif Koutani,Khalid Elkhader. Late Extensive Regional Recurrence of Paratesticular Dedifferentiated Liposarcoma 10 Years after Orchiectomy: A Case Report. Arch Cancer Sci Ther. 2026: doi: 10.29328/journal.acst.1001049; 10: 006-010
  • The Police Power of the National Health Surveillance Agency – ANVISA
    Dimas Augusto da Silva* and Rafaela Marinho da Silva Dimas Augusto da Silva*,Rafaela Marinho da Silva. The Police Power of the National Health Surveillance Agency – ANVISA. Arch Cancer Sci Ther. 2024: doi: 10.29328/journal.acst.1001046; 8: 063-076

Read More

Most Viewed

Read More

Help ?